東京・上野の歯医者
「なかむら歯科医院」
からのお知らせ
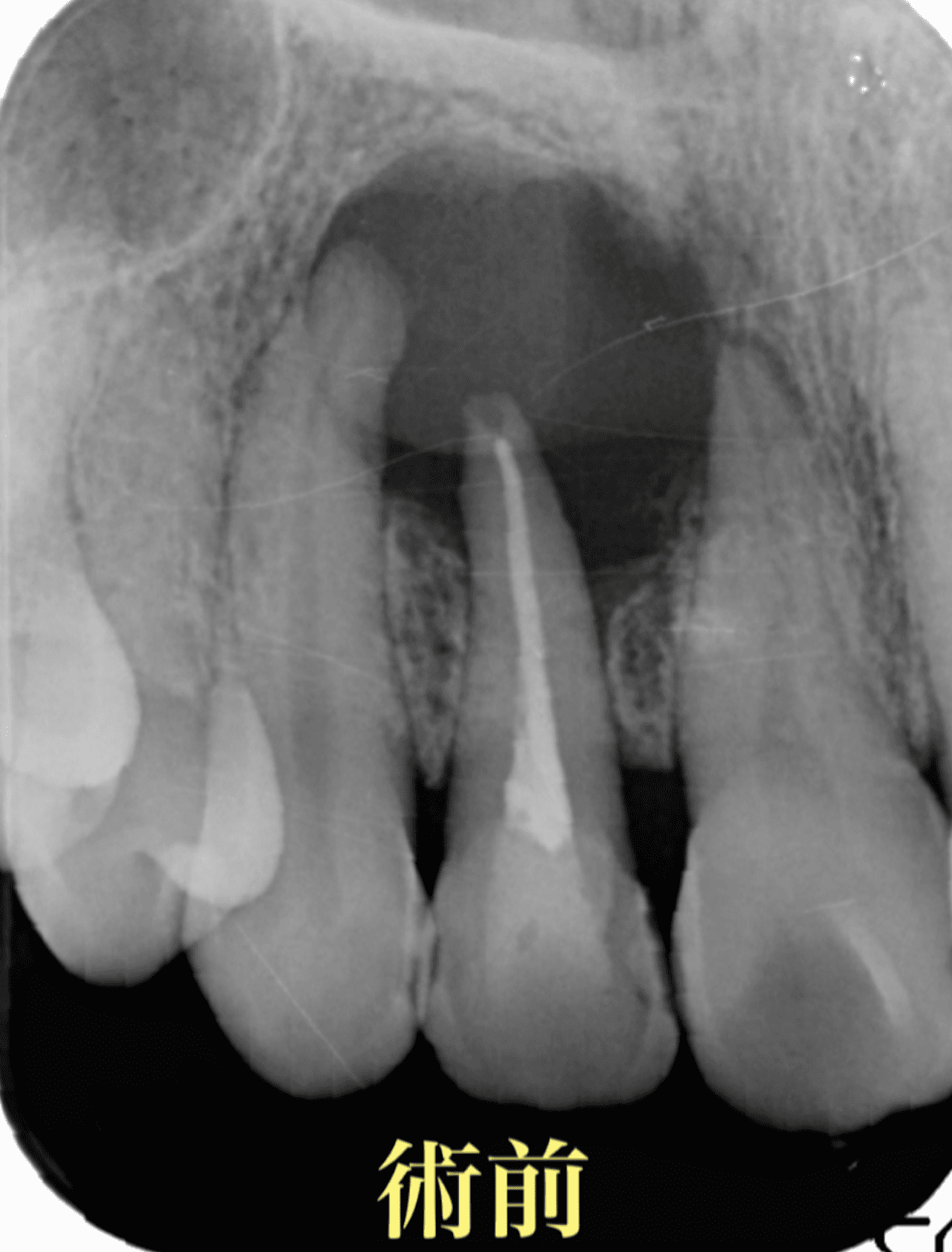
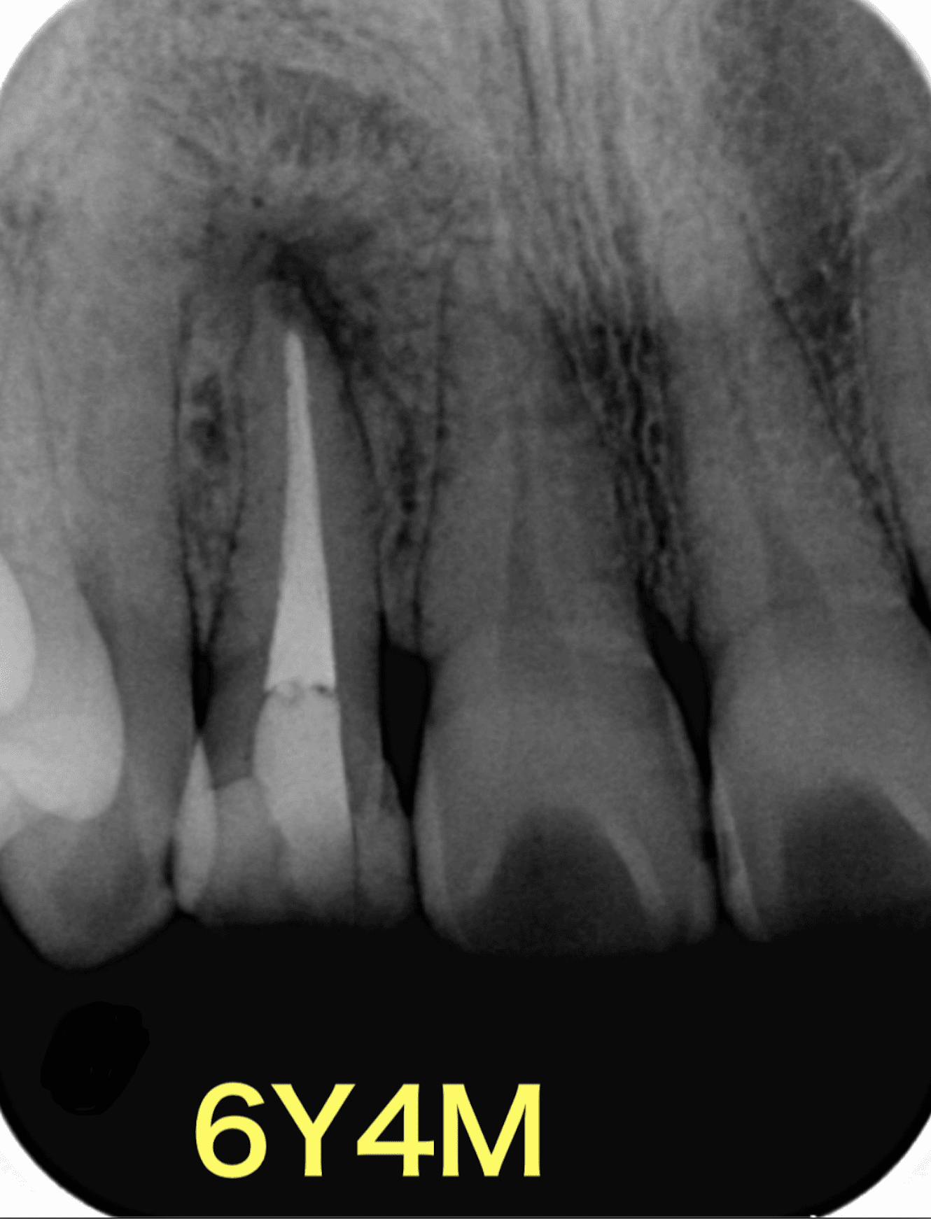
再根管治療8年後の経過
-
治療前

-
治療後

| 主訴 | 根の先の骨が大きく溶けており抜歯と言われた。何とか残せないか? |
|---|---|
| 診断名 | previously treated Asymptomatic apical periodontitis |
| 治療の方法 | 再根管治療 |
| 治療費 | 約16.5万(税込) |
| 治療する際に起こる リスク・副作用 |
1. 根管治療は100%の成功率を提供するものではありません 2. 治療中、偶発的事故(ファイル破折、穿孔、腫脹、発赤、疼痛、内出血斑、ヒポクロアクシデントetc..)が生じる可能性がありますが、基本的に治療の予後に影響するものではありません。 3. 治療が奏功しない場合、外科的治療が必要になる可能性があります。 4. 麻酔により治療後、一時的または継続的に麻痺や、一時的な視力障害が生じる可能性があります(ただし、全ての歯科麻酔はその可能性があります)。 5. 根管治療後、患者さんの60%に2,3日、長い場合は1週間程度痛み(特に咬合痛)が出る場合がありますが、その場合は消炎鎮痛剤でコントロールできます。それにより最終的な治療の結果に影響は及びません。 |


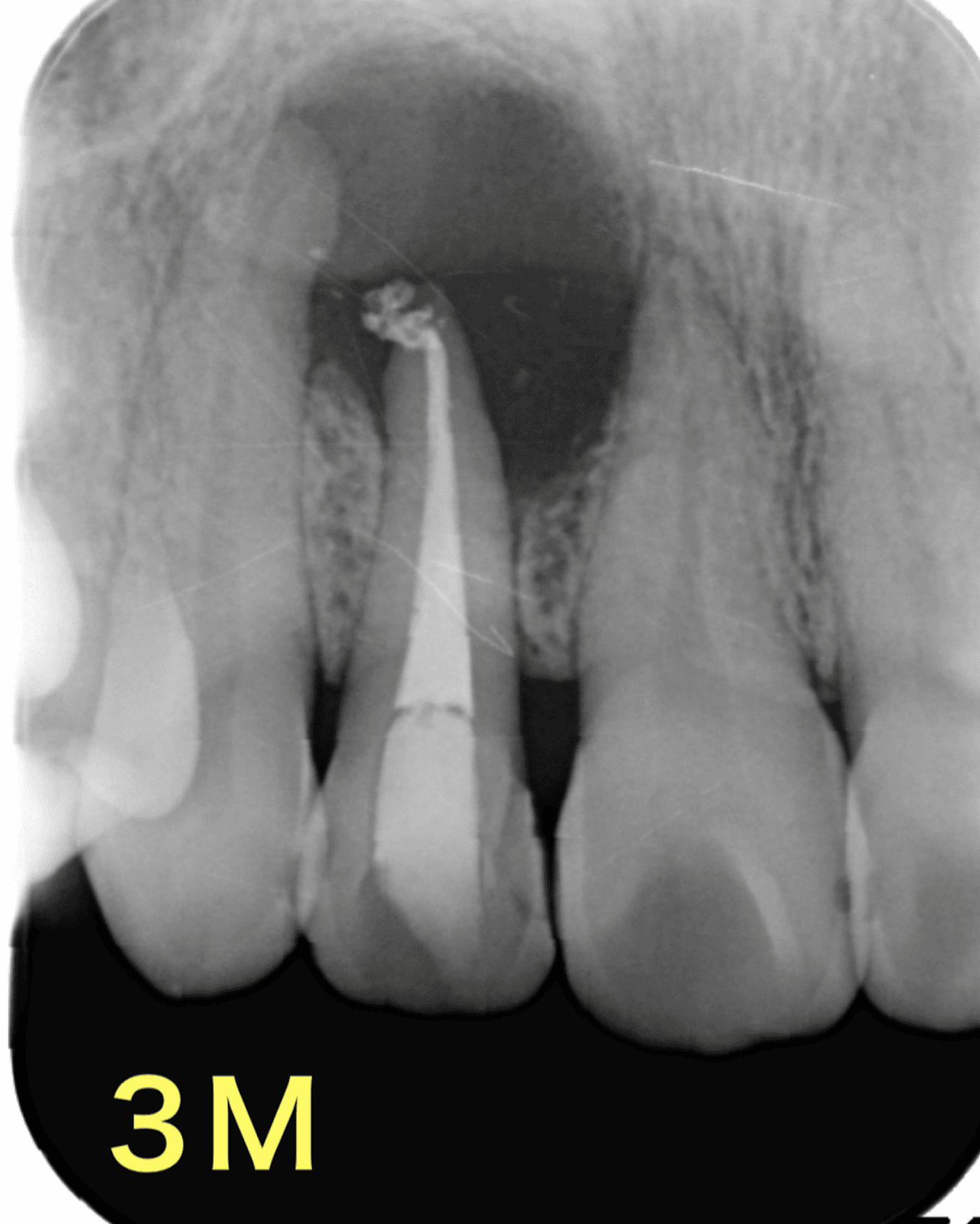
再根管治療後1年で病変の大きさに変化なく、ここで外科治療に踏み切りたくなりますが。。


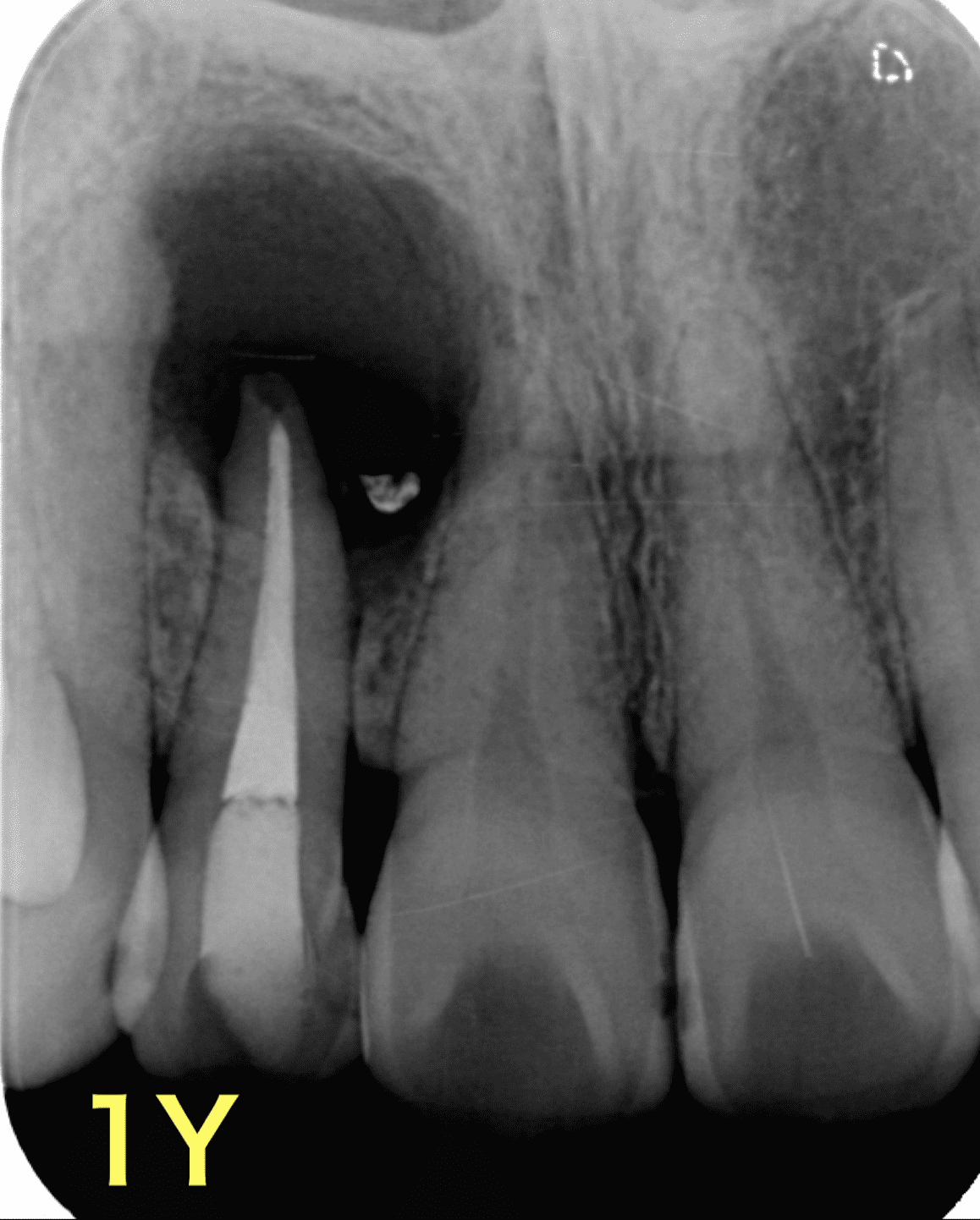
5年後
だいぶ病変が縮小しました。


根管治療はやはり大事である
ということを示す一例。
そして、症状がないのであれば経過を追う!
東京で精密根管治療、歯根端切除術をお探しの方は、当院にご相談ください。
東京で精密根管治療を
受けられる歯医者
なかむら歯科医院

〒110-0015
東京都台東区東上野4丁目6-7
シティコープ上野広徳1階
【平日】9:30~13:00/14:30~18:30
【土曜】9:30~13:00/14:30~18:00
木曜・日曜・祝日