東京・上野の歯医者
「なかむら歯科医院」
からのお知らせ
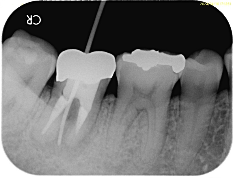
意図的再植術 1年6ヶ月後の経過
-
治療前

-
治療後

| 主訴 | 右下の奥歯が腫れてきたので診てほしい |
|---|---|
| 診断名 | previously treated Chronic apical abcess
|
| 治療の方法 | 意図的再植術 |
| 治療費 | 約20万 |

腫れている部位から、器具を挿入。
原因となっている歯を特定しました。

今までに2回根管治療をしているということで、根管の上部3分の1が太く削られています。
根尖部も然り。
これ以上、通法の根管治療を行っても成功率は低いと判断。
意図的再植術を行うこととなった。


東京で精密根管治療を
受けられる歯医者
なかむら歯科医院

〒110-0015
東京都台東区東上野4丁目6-7
シティコープ上野広徳1階
【平日】9:30~13:00/14:30~18:30
【土曜】9:30~13:00/14:30~18:00
木曜・日曜・祝日