東京・上野の歯医者
「なかむら歯科医院」
からのお知らせ
右下6番歯根端切除術
-
治療前

-
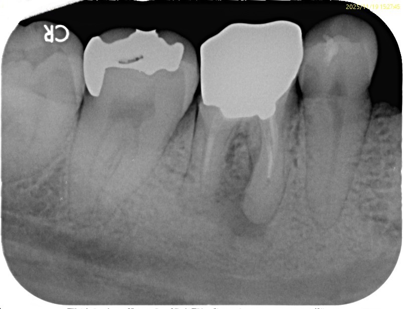
治療後

| 主訴 | 抜いてインプラントを勧められた。 抜かずに治療できないでしょうか? |
|---|---|
| 治療の方法 | 歯根端切除術 |
| 治療費 | 約20万円(税込) |


黒い部分は、骨が無くなっていることを意味する。
遠心まで病変が広がっているが、これは近心根の病変によるものであろう。
治療法は2つ
①再根管治療
再根管治療で治る可能性もあるが、治らなければ歯根端切除術へ
②歯根端切除術
患者さんは②を選択された。
CT画像から判断するに
頬側の骨が破壊されておらず、フラップを開けても病変は出て来ない。
骨頂部から、根尖までは10mm程度とやや長い。


根尖を3m m切断。
中央部に根管が確認できる。

逆根管形成(🟰細菌の減少を図る)

逆根管充填


東京で精密根管治療を
受けられる歯医者
なかむら歯科医院

〒110-0015
東京都台東区東上野4丁目6-7
シティコープ上野広徳1階
【平日】9:30~13:00/14:30~18:30
【土曜】9:30~13:00/14:30~18:00
木曜・日曜・祝日