東京・上野の歯医者
「なかむら歯科医院」
からのお知らせ
歯肉の腫れと、強い痛みを伴う歯に対する歯根端切除術

大量に膿が出ているからといって、必ずしも抜歯になるわけではありません。
まずは急性症状を抑えます。
-
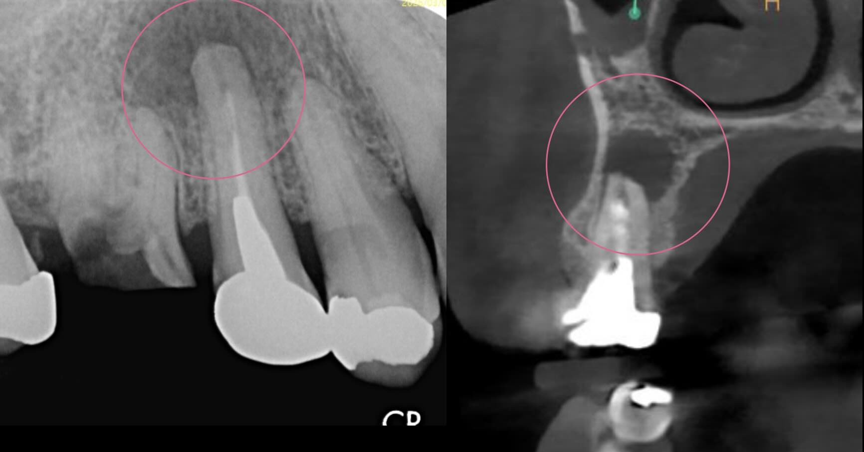
治療前

-
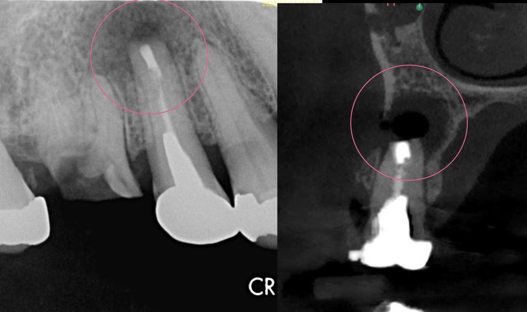
治療後

| 主訴 | 歯肉が腫れて、激痛です。 |
|---|---|
| 診断名 | pulp diagnosis : Previously treated periapical diagnosis : Acute apical abscess |
| 治療の方法 | 歯根端切除術(右上5番) |
| 患者様の年齢 | 60代 |
| 治療期間 | 2回(ope、抜糸) |
| 治療費 | 約20万(税込み) |
| 治療の説明 | 急性症状があり、腫れているため、切開排膿。 2週間後に、opeの運びとなった。
手術中は、麻酔をしているため当然痛みはありません。 術後の痛みもあまりなく、翌朝には痛み止めが必要ない場合がほとんどです。 |
| 治療する際に起こる リスク・副作用 |
・痛み、腫れ、出血。一時的に青あざの様になる可能性がある。 |
歯根の先端を出して、確認します

歯根の先端を約3mm切断後、根管を確認します。


根の先を切るだけでは治りません。
根管内部の感染を取り除く処置(逆根管形成)がとても重要になります。
これにより、根管内部の細菌数を減らしています。
外科治療と言っても、やっていること(目的)は、通常の根管治療と同じです。


その後、しっかりと封鎖します。

現時点で経過は良好で、この歯は保存できる可能性が高い状態です。
また経過を報告します!
本症例は、なかむら歯科医院 院長が実際に診断・治療を行った症例です。
抜歯と言われた歯でお悩みの方へ。
歯根端切除術という選択肢があります。まずは一度ご相談ください。
東京で精密根管治療を
受けられる歯医者
なかむら歯科医院

〒110-0015
東京都台東区東上野4丁目6-7
シティコープ上野広徳1階
【平日】9:30~13:00/14:30~18:30
【土曜】9:30~13:00/14:30~18:00
木曜・日曜・祝日